Cosmetic Dentistry Marietta, GA
“I highly recommend this office, 10 out of 10.”
– Rochelle, 5-Star Review
- 30+ years of cosmetic dentistry experience
- Cutting-edge technology for gorgeous results
- Get a coupon for $100 off your treatment
- We accept financing for cosmetic procedures
Why Patients Trust Verde Pointe Dental Associates
Our dentists are esteemed members of a number of prestigious professional associations, including the American Dental Association. Reasons to choose our team of caring dental professionals include:
Decades of Experience
For over 30 years, the dentists at Verde Pointe Dental Associates have provided top-quality cosmetic care to help patients in Kennesaw, Powder Springs, and Marietta, GA, achieve the smiles of their dreams.
World-Class Expertise
Verde Pointe Dental Associates is at the forefront of modern dentistry. Our cosmetic dentists regularly coordinate with researchers and universities to build better dental products and provide patients with the best possible treatment outcomes.
Advanced Materials
Our dentists only use state-of-the-art materials when crafting custom restorations such as veneers, crowns, and dental implant restorations. This allows patients to enjoy long-lasting restorations with stunning aesthetic results.
Sophisticated Technology
Our dentists use the latest technology for every cosmetic dentistry procedure. CEREC allows us to design and create restorations like crowns while you wait, while cone beam scanners provide an incredible level of precision during treatment planning.
Begin Your Transformation:
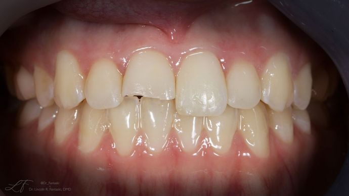
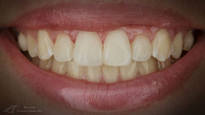
Real Patient Results Before and After Cosmetic Dentistry
Choose a Trusted Cosmetic Dentist Book Your Appointment Today
At Verde Pointe Dental Associates, your smile is in expert hands. Led by Dr. N. S. Prasad, our team combines decades of experience with the latest dental technology to deliver natural-looking, long-lasting cosmetic results. Whether you want to brighten your smile with whitening or completely transform your look with veneers or clear aligners, Dr. Prasad will guide you every step of the way.
- Three decades of cosmetic dentistry experience
- Digital precision with 3-D impressions & cone beam imaging
- Same-day CEREC restorations available
- Full range of services: whitening, veneers, clear aligners & more
- Flexible financing with CareCredit and Sunbit
- New patients save $100 on any service they're like
See what the team at Verde Pointe Dental Associates can do for you by requesting a consultation at our Marietta, GA, office. Contact us online or call:
(770) 423-4900
“The greatest experience!” Learn Why We Have So Many 5-Star Reviews
The team did very well excellent experience, was referred to them by the VA, and I must say they found a new patient.
View on GoogleI was referred to this office thru my primary Va care and I had the greatest experience! Every one was so supportive and made me feel at ease with getting a dental procedure done!
View on GoogleCan I Afford Cosmetic Dentistry? Yes! We Accept Insurance & Financing
While we accept most major dental insurance plans for qualifying procedures, purely cosmetic procedures such as veneers, teeth whitening, and dental bonding are generally not covered by insurance. However, treatments that are considered both restorative and cosmetic, such as a root canal and a crown, may qualify for at least partial coverage. In such cases, we will be glad to fill out paperwork on your behalf to ensure you can make the most out of your benefits.
To help patients interested in cosmetic dental care manage their out-of-pocket expenses, we offer flexible payment plans through CareCredit® and Sunbit®. Both options provide patients the ability to finance treatments with budget-friendly payment plans that range from six to 60 months.
We will be happy to answer any questions you have about financing through CareCredit or Sunbit at your next visit to our Marietta GA dental office.
Linda Loves Our Friendly, Professional Staff
Linda loves the atmosphere at Verde Pointe Dental Associates. She appreciates our helpful, welcoming staff. She always feels at ease during her appointments.

Nervous About Dental Treatment?
We Can Help You Feel More Relaxed
Do you suffer from dental phobia and avoid visiting the dentist? Are you combining dentistry procedures and concerned about experiencing pain?
No matter your specific situation, we’re here to help you feel calm every step of the way. Since we specialize in sedation dentistry, you can focus on reaping the benefits of a smile that helps you feel more confident than ever, not on worrying about your time in the dental chair.
Cosmetic vs. Restorative Dentistry Understanding the Difference
Cosmetic Dentistry
Cosmetic dentistry focuses on changing the aesthetics of your teeth to build a beautiful smile. It does not restore function to your teeth, so patients should already be in good oral health before receiving cosmetic dentistry.
Restorative Dentistry
With restorative dentistry, the focus is on restoring the function of your teeth. While a more aesthetic smile may result from restorative procedures, the main goal is to improve form and function.
Ready to Improve the Appearance of Your Smile? Request an Appointment Today
If you are interested in a whiter, brighter smile, the team of compassionate professionals at our advanced dentistry practice can help. Our long list of cosmetic dentistry treatments provides patients in Kennesaw, Powder Springs, and Marietta, GA, with a wide range of options to restore and revitalize the appearance of their teeth and improve the health of their smiles.
Whether you are interested in brightening your teeth with professional whitening or filling the gap left by a missing tooth with a dental implant, our expert dentists can develop a custom-tailored treatment plan to meet your individual needs.
To learn more about cosmetic dentistry or to request an appointment with our dentists, you can contact us online or give us a call:

More 5-Star Reviews for Our Team
Excellent job !!! Great customer service!!! Dr Patel and Jazmine were amazing!!! Nice office and very convenient!!! If you need a dentist come to Verde pointe Dental !!!
View on GoogleDr. Prasad and his team are wonderful! This dentist office is super friendly and helpful. Ellie helped me out with some insurance issues this year and went out of her way to take care of me.
View on GoogleCustomized Care and Gorgeous Results See What Cosmetic Dentistry Can Do
Our Featured Cosmetic Procedures
Clear Aligners

At Verde Pointe Dental Associates, our dentists can straighten teeth and realign your bite with orthodontic clear aligners. A discreet alternative to traditional braces, clear aligners use a series of removable clear plastic trays to move your teeth into their optimal position. Once treatment is completed, you can enjoy the many benefits of a healthier, more attractive smile.
Dental Bonding

Dental bonding uses a tooth-colored resin to conceal stains, close gaps, or repair cracked teeth. With dental bonding, our cosmetic dentists can address cosmetic concerns, improve the appearance of your teeth, and help boost your confidence in just one appointment.
Teeth Whitening

Professional teeth whitening can help you safely and quickly whiten your smile. Verde Pointe Dental Associates offers the incredible Zoom!® professional teeth whitening system. Unrivaled by any consumer-grade whitening product, Zoom! can brighten your smile up to eight shades in a single session at our Marietta dental office.
Veneers

Veneers are ultra-thin porcelain shells designed to conceal a wide range of cosmetic concerns. They are made from high-quality materials that mimic the light-reflecting properties of natural tooth enamel, delivering natural-looking results. If you're ready for a permanent change, veneers can completely transform your smile.
Tooth Reshaping

At Verde Pointe Dental Associates, our dentists can straighten teeth and realign your bite with orthodontic clear aligners. A discreet alternative to traditional braces, clear aligners use a series of removable clear plastic trays to move your teeth into their optimal position. Once treatment is completed, you can enjoy the many benefits of a healthier, more attractive smile.
Which Cosmetic Treatment Is Right for You? Request a Consultation to Find Out
During a cosmetic dentistry consultation, your dentist can evaluate your smile, learn more about your treatment goals, and design a cosmetic dentistry plan with the procedures that are right for you.
We can help you find out which procedure will meet your needs while staying within your budget. To lower the cost of treatment, be sure to download and print your $100 new patient coupon before your initial appointment.
Cosmetic dentistry can help you create a smile you're proud to show off. Get the process started and see which procedure is right for you by contacting our Marietta, GA, office:
(770) 423-4900
"Everyone is kind and helpful." 5-Star Reviews From Marietta, GA, Patients
Always a wonderful experience when visiting Verde Dental. Staff is always friendly and welcoming and treat you like family.
View on GoogleWhat a Great Experience!! The Dental Assistants, The Receptionist, and Of Course Dr. Prasad…. Wow.. They are truly family!
View on GoogleCombine Multiple Treatments to Give Your Smile a Makeover
You may be feeling self-conscious about your smile because of more than one aesthetic flaw. That’s okay: our Marietta, GA, dentistry team can work with you to develop a custom-tailored smile makeover that achieves the smile you’ve always dreamed of.
Versatile Applications
Whether you opt for teeth whitening after your Invisalign treatment or combine other cosmetic dentistry procedures, a treatment plan can be designed to address multiple dental needs.
Personalized Approach
Our dentist will work closely with you to learn more about what you’re unsatisfied with when it comes to your smile. Then, we’ll go over the necessary dentistry procedures that will treat your unique cosmetic flaws.
Incredible Results
Combining multiple dental cosmetic procedures can lead to results more stunning than a single procedure alone could achieve. Revitalizing the appearance of your teeth, gums, and smile at large can also boost your self-image and confidence.
Let’s Chat About Your New Smile
Are misaligned teeth causing you to smile less? Does discoloration or unevenness make you feel self-conscious? Take the next step towards achieving a smile you’re proud to show off by turning to Verde Pointe Dental Associates today.
What Patients Have to Say About Our Marietta, GA, Practice
This Denistry is the most pleasant experience I have ever had with a dentist office. Everyone from the front desk to the Dentists are exceptional!!!!!
View on GoogleDr.Prasad and all of the staff front office and back are nice. I would highly recommend anyone to go see them. Top notch service and clean facility.
View on GoogleWe Offer Preparatory Work Before Cosmetic Dentistry Treatment
A beautiful smile needs a healthy foundation. Fortunately, our team has the skills and resources to restore your oral health before moving on to cosmetic treatment. Preparatory treatments may include:
With us, achieving a dazzling, symmetrical smile is about so much more than surface-level aesthetics; it’s a captivating representation of health, beauty, and good oral standing. With us, you can feel confident you’re laying the groundwork for long-term results and overall health. No matter what state your teeth or gums are in, we have what it takes to rejuvenate your smile from top to bottom.
Marietta Patients Are Grateful For Our Dental Office
I've been a patient here since 2013 and I've never had one issue! All of the staff are always kind and welcoming.
View On GoogleI love it here! They treat you like family. I’ve had traumatic experiences in the past with my dental work but at Verde Pointe they are very patient and kind.
View On Google











